44 5 5 5
.jpg)
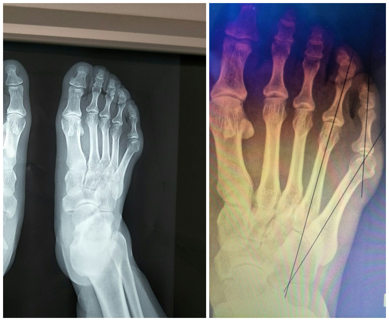
X 5 4 5 20° 20° III
.jpg)
AOFAS 72 VAS 0 0 6
.jpg)
X 5 4 5 20° 20°
.jpg)
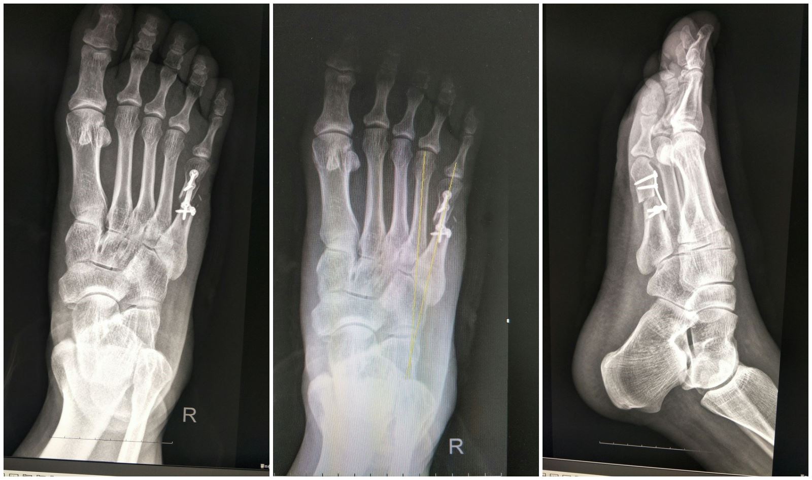
2018 8 18 5 WEIL
.jpg)
.jpg)
4 5 4 5 7° 5
Chevron Scarf Lapidus Cavus Foot Flat Foot Hag lund Charcot Disease

ᠣᠳᠣᠬᠢ ᠪᠠᠢᠷᠢ :
