CT MRI MRA( Toast 1
.jpg)
( 2 3 2018-09-12 )
.jpg)
2
.jpg)
3
.jpg)
4
.jpg)
5
.jpg)
6
.jpg)
7
( MRA)
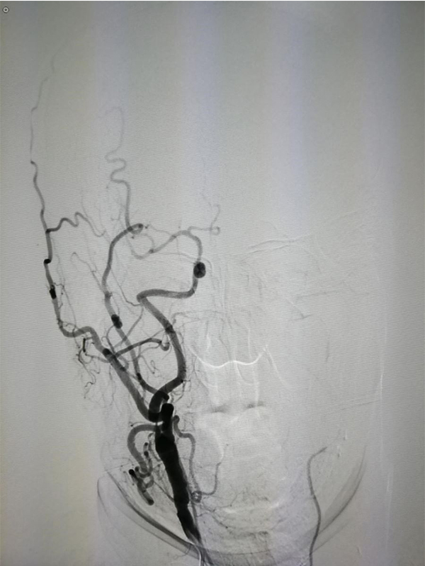
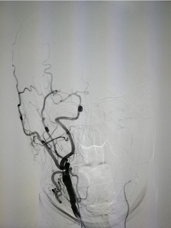
MRA CTA (CT ) DSA <50 %) MRA 50 % CTA 80% DSA 99 % ( ) CTA DSA
MRA CT CTA
1.
70﹪
2.
MRA ( 3D-TOF) MRA MRA MRA
MRA CTA MRA ( ) MRA
3. CT
MRA CTA (Willis) CT
CTA 100 % 63 %(95 % 25 %-88 %) 70 % 100 %
4.
NASCET 1 % MRA CTA
.jpg)
ECST
NASCET ( NASCET )
5.
CT MRI
MRI MRI
2
ERCP( )

ᠣᠳᠣᠬᠢ ᠪᠠᠢᠷᠢ :
