.jpg)
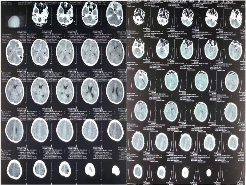
CT ()
CT ()
56 4 CT

()
CT ()

ᠣᠳᠣᠬᠢ ᠪᠠᠢᠷᠢ :
